Fotografía Clinica
-
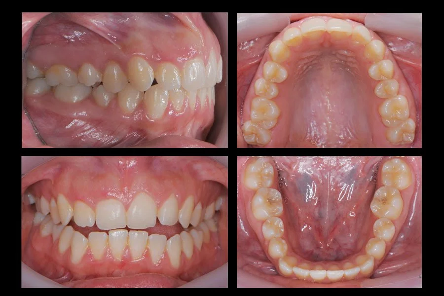
Fotografias Intraolrales
Se refleja el interior de la cavidad oral, sin mostrarse los labios. Estas imágenes se emplean al iniciar el tratamiento, en los pasos intermedios y al finalizarlo, logrando de ese modo, un seguimiento completo del caso. Para ello, se necesitan retractores labiales, espejos y paletas de contraste.
Este tipo de fotografías son utilizadas en todas las especialidades de la Odontología por su gran valor a la hora de mostrar los procesos y resultados tanto a pacientes como a compañeros.

-
Fotografias Extraorales
Son aquellas en las que encuadramos la cara completa del paciente. Gracias a ellas, los expertos pueden ver si el tipo de mordida afecta a la morfología de la cara.
El objetivo es captar los rasgos y las características faciales junto con la sonrisa del paciente, y poder valorar el cambio facial en conjunto una vez finalizado el tratamiento.
